إنجاز طبي في ظروف صعبة
غزة: مستشفى السرايا الميداني ينقذ شابًا من حالة جراحية نادرة
في إنجاز طبي جديد يعكس كفاءة الطواقم الطبية وقدرتها على العمل في ظروف معقدة، نجح أطباء مستشفى السرايا الميداني التابع لـ جمعية الهلال الأحمر الفلسطيني في إنقاذ حياة شاب يبلغ من العمر 30 عامًا بعد إصابته بحالة نادرة وخطيرة من انسداد الأمعاء.
وصول مفاجئ بحالة حرجة
وصل الشاب إلى قسم الطوارئ وهو يعاني آلامًا شديدة ومفاجئة في البطن استمرت لعدة ساعات، رافقها قيء متكرر وتسارع ملحوظ في ضربات القلب.
وعند الفحص السريري، لاحظ الأطباء وجود انتفاخ وألم شديد في البطن مع مؤشرات تدل على احتمال وجود انسداد خطير في الأمعاء.
تشخيص حالة نادرة
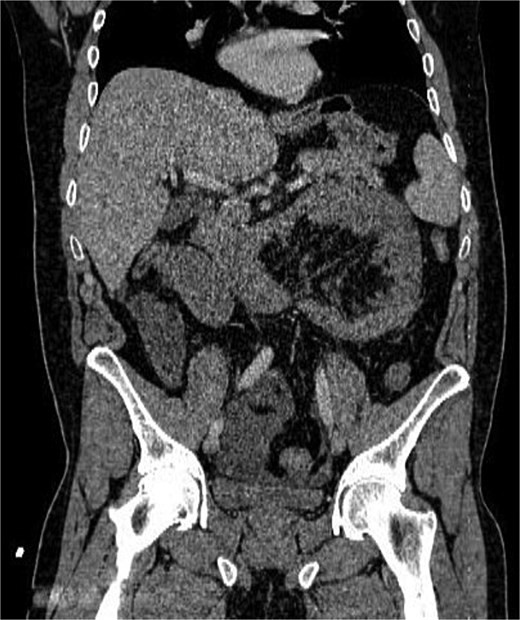
أظهرت الفحوصات والتصوير الطبي وجود فتق داخلي نادر أدى إلى احتباس جزء من الأمعاء الدقيقة داخل تجويف غير طبيعي في البطن، ما تسبب في انسدادها وانقطاع التروية الدموية عنها.
ويُعد هذا النوع من الحالات من الأسباب النادرة لانسداد الأمعاء، لكنه قد يتحول بسرعة إلى حالة مهددة للحياة إذا لم يتم التدخل الجراحي العاجل.
عملية جراحية عاجلة
قرر الفريق الطبي إجراء عملية جراحية طارئة لإنقاذ حياة المريض.
وخلال العملية اكتشف الأطباء أن جزءًا من الأمعاء الدقيقة تعرض للاختناق والتلف نتيجة الفتق الداخلي.
وقام الفريق الجراحي باستئصال نحو 60 سنتيمترًا من الجزء المتضرر من الأمعاء، ثم إعادة توصيل الأمعاء السليمة جراحيًا، مع معالجة سبب الفتق بشكل كامل.
تعافٍ سريع
بعد العملية نُقل المريض إلى وحدة العناية المركزة لمتابعة حالته الصحية، حيث تحسنت حالته تدريجيًا خلال 48 ساعة.
وأُجريت له جراحة متابعة للتأكد من سلامة الأمعاء ونجاح العملية، قبل أن يبدأ بتناول الطعام تدريجيًا ويستعيد نشاطه الطبيعي.
وبعد أيام قليلة من الرعاية الطبية، تمكن الشاب من مغادرة المستشفى بحالة صحية جيدة ودون أي مضاعفات.
نجاح طبي يحظى بتقدير علمي
لم يقتصر نجاح هذه الحالة على إنقاذ حياة المريض فحسب، بل حظيت أيضًا باهتمام علمي، حيث تم توثيقها ونشرها في Journal of Surgical Case Reports، وهي إحدى المجلات الجراحية العلمية المرموقة.
وجاء نشر الحالة نظرًا لندرتها وأهمية التدخل الجراحي السريع الذي أُجري داخل مستشفى ميداني يعمل بإمكانات محدودة، ما يعكس مستوى الخبرة والكفاءة لدى
الطواقم الطبية.
رسالة أمل في أصعب الظروف
تؤكد هذه القصة الدور الإنساني والطبي الذي تقوم به مستشفيات ومراكز جمعية الهلال الأحمر الفلسطيني في تقديم الرعاية الصحية المنقذة للحياة، حتى في البيئات الصعبة والموارد المحدودة، حيث يمكن للتشخيص السريع والتدخل الجراحي في الوقت المناسب أن يصنعا الفارق بين الحياة والموت.
